
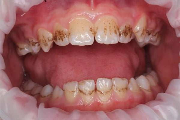
Гигиенист стоматологический Гульнара Огнева о зубном налете Пристли, который проявляется в первые годы жизни ребенка в виде своеобразной пигментации.
Налет Пристли – это черные пятна на молочных зубах, которые появляются у детей в первые годы жизни. По сути, это следы жизнедеятельности отдельных типов бактерий, которые и вызывают пигментацию. Избавиться от черного цвета зубов в таком случае невозможно, просто тщательно почистив их с помощью пасты.
Налет черного цвета на зубах появляется не у каждого ребенка. Это связано с тем, что организм по-разному реагирует на изменения в еде, окружающей среде. У кого-то точка до пятна может развиваться постепенно, а у некоторых детей они образуются резко, буквально за одну ночь. Причем не важно, сколько лет ребенку: черный налет у детей, как на фото, может появиться и при прорезывании первых молочных зубок. Но в среднем он образуется в 2 года.
Что делать?
- В первую очередь провести профгигиену полости рта у стоматолога.
Как часто делать профгигиену?
- Обычно, начиная с 2 лет, гигиеническую процедуру необходимо проводить каждые 5 месяцев. Хорошая новость состоит в том, что при правильно подобранном домашнем уходе, кратность профгигиены со временем становится обычной (1 раз в пол года).
Может ли быть такое, что это обычный кариес?
- Да, под таким налетом кариес может быть. И его родители не сразу могут заметить из-за темных зубов.

Что делать дома?
- Добавить в уход за полостью рта энзимные пасты. Энзимные пасты не скребут эмаль, они расщепляют зубной налет ферментами или энзимами. Есть детские и взрослые пасты,
которые нужно подбирать по возрастной категории. Важно помогать ребенку дочищать зубы. Время чистки зубов в среднем должно составлять от 2 до 3 минут.
А если ребенок принимает препараты в составе которых присутствует железо, это такой же налет?
- Нет. Это разная история. Но энзимные пасты хороши и при приеме препаратов железа.
Напоминайте ребенку чистить зубы не меньше двух раз в день и пользоваться ополаскивателем. Это поможет удалить бактерии, отвечающие за накопление налёта Пристли.
После каждой чистки хорошо промывайте щетку ребенка и обдавайте ее кипятком, чтобы не создавать среду, благоприятную для роста бактерий.