
В селе Пальяново Октябрьского района завершила работу передвижная флюорографическая установка. В течение двух дней обследование органов грудной клетки прошли 68 человек, включая семерых детей.
Выездные диагностические мероприятия организованы специалистами Центра профессиональной патологии в рамках национального проекта «Продолжительная и активная жизнь». Работа мобильных комплексов на отдаленных территориях Югры ведется круглогодично. В зимний период медики делают акцент на населенных пунктах, доступ к которым возможен преимущественно по автозимникам.
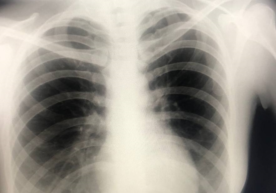
«Флюорография остается самым информативным методом ранней диагностики туберкулеза и патологий органов дыхания. Скрининг безопасен для организма, так как лучевая нагрузка минимальна. Для контроля состояния здоровья достаточно проходить это обследование один раз в год», — подчеркнул исполняющий обязанности заведующего рентгеновским отделением Няганской городской поликлиники Глеб Садовский.